Our Services

Aligners

Aligners

Invisalign is a modern orthodontic system designed to straighten teeth using clear aligners. Unlike traditional braces, which rely on metal brackets and wires, Invisalign offers a more discreet alternative that many patients prefer.

read more

Laser Gum Surgery

Laser Gum Surgery

Laser gum surgery represents a significant advancement in the treatment of gum disease, merging cutting-edge technology with patient-centered care.

read more

Single sitting Root Canal

Single sitting Root Canal Treatment

Single sitting root canal treatment (RCT) is widely recognized as the standard procedure for addressing infections in damaged or decayed teeth. This approach offers an effective alternative to tooth extraction, allowing patients to preserve their natural teeth.

read more

Pediatric Dentistry

Pediatric Dentistry

Teething occurs in humans as early as 6 months of age, when they form their primary'milk' teeth. Humans begin to lose their milk teeth at the age of 6-7 years, and their permanent set of teeth emerges. Some parents neglect to take their children to the dentist since the milk teeth would ultimately fall out.
These milk teeth, on the other hand, are the foundation for the development of permanent teeth. If necessary precautions are not followed, issues might arise that will last a lifetime. Caries incidences in youngsters have increased dramatically in recent years. As a result, it is usually advisable to begin caring for your baby's teeth as soon as possible after birth. This involves establishing an oral hygiene routine and seeing the paediatric dentist on a regular basis.

read more

Digital Smile Design

Digital Smile Design

Digital Smile Design (DSD) is an innovative approach that leverages advanced technology to enhance the aesthetics of a person's smile. This cutting-edge software analyzes an individual's smile by utilizing high-resolution photographs and input from specialized scanners.

read more

Full Mouth Implants

Full Mouth Implants

Full Mouth Implant Treatment is an advanced and innovative solution for restoring all the teeth in one or both jaws. This method is particularly beneficial for individuals who have lost most or all of their natural teeth due to decay, injury, or other dental issues.

read more

General Dental Checkup

General Dental Checkup

As with regular health checkups, it is important to have a dental checkup every 6 months. An accurate dental examination will help you find an early infection that can be treated before it gets worse.

read more

General Dental Checkup

Dental Fillings

We uses only mercury and BPA-free tooth color composites to treat small and medium-sized caries. Composite resins are high quality ceramic materials with high strength, durability and beautiful natural aesthetics. Not only can it be used to treat cavities in the posterior teeth, but it also helps to correct the anterior teeth and give a bright smile.

read more

Root Canal Treatment

Root Canal Treatment (RCT)

Endodontic therapy is another name for root canal treatment. When decay penetrates the pulp (innermost layer of the tooth) and causes irritation, this technique is used. The tooth that has been extracted must be preserved.

read more

Cosmetic Dentistry

Cosmetic Dentistry

There is a fast answer to the shining and beautiful teeth you've always desired for people who don't have the patience to wear braces.

read more

Tooth Extraction

Tooth Extraction

Tooth Extraction is a quick and painless procedure that involves the extraction of a problematic tooth under anaesthesia. The oral surgeon numbs the tooth with a numbing gel and local anaesthetic before carefully pulling the tooth out with back and forth movements using special equipment. You may feel some pressure at this stage, but the treatment normally causes little or no discomfort. After the tooth is extracted, the area is cleansed and sutures are used to seal the wound (sutures). Following that, your oral surgeon will provide you with specific post-operative instructions to ensure a quick recovery.Another most common surgical treatment we deal with is wisdom tooth extraction.

read more

Dental Implants

Dental Implants

Dental implants are surgical components that are attached to the jaw or skull and serve as anchors for dental prosthesis such as crowns, bridges, dentures, and face prosthesis. Modern dental implants rely on osseointegration, a biological process in which materials like titanium and zirconium oxide become closely attached to the bone. Dentures are implanted after the implants have been put in areas where bone integration is possible. Before connecting a denture (tooth, bridge, or prosthesis) to an implant or inserting an abutment to keep the denture / crown in place, osseointegration is required.

read more

Bridges & Crowns

Bridges & Crowns

A dental crown can cap an induviduals damaged or decaying tooth or be placed on top of a dental implant to replace a missing tooth. Bridges are solely used to replace missing teeth.

read more

Dentures

Dentures

Dentures are removable appliances that are used to restore teeth and tissues that have been lost. They are prosthetic teeth that allow a person's mouth to operate properly. Dentures are divided into two categories: complete dentures and partial dentures.

read more

Smile Makeover

Smile Makeover

A smile makeover is a technique that involves a variety of cosmetic or surgical operations to improve the look of a smile. Tooth colour, tooth size, tooth form, tooth position, lip position, lip length, gum position, and gum colour are all factors in a smile makeover.

read more

Orthodontic Treatment

Orthodontic Treatment

Orthodontic therapy involves straightening teeth to enhance their appearance and function. Braces and aligners are two options for therapy (Invisible Braces). There are lingual braces, tooth-colored braces, and metal braces.

read more

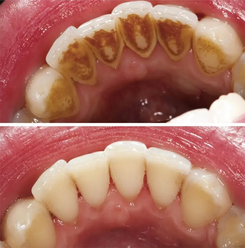
Teeth Cleaning

Teeth Cleaning

Plaque (a soft, sticky bacterial film) and tartar/calculus deposits that have accumulated on the teeth over time are removed during teeth cleaning. We utilise special instruments and polishing pastes made particularly for cleaning teeth during a cleaning operation, paying special attention to those places and surfaces of teeth that are difficult to see and access, such as the narrow gaps between teeth and along/just below the gum line. We use specialised ultrasonic devices to remove bigger chunks of tartar, then finer hand tools (curettes) to remove tiny deposits and polish the tooth surface.
Then brush your teeth with a slow handpiece that uses a preventative paste that makes your teeth shiny and smooth. During the cleaning process, we write down what may be missing from home care. At the end of your cleaning appointment, you will receive advice and tips to help you treat these areas more effectively and keep your teeth and gums as healthy as possible between dentist visits.

read more

Gum Therapy

Gum Therapy

WHAT ARE THE DISEASES OF THE GUMS?
Gum disease is an infection of the gums that can spread to the bone that supports and surrounds your teeth. Gum disease, also known as periodontal disease, is caused by bacterial development in the mouth. Bacteria in the dental plaque, a microbial biofilm that accumulates on the teeth and gingiva, cause localised inflammation of the gingiva. This condition affects over 70% of the population at some time in their lives. Despite the fact that it is such a common ailment, most individuals are ignorant of the problem and the consequences it may create.

read more
Never forget to smile!